Google Review

Root Canal Treatment: Everything Newnan Patients Should Know

Root Canal Treatment Everything Newnan Patients Should Know

If you’re experiencing persistent tooth pain or lingering sensitivity, it could be more than just a cavity. These symptoms may signal a deeper problem inside the tooth. In such cases, a specific dental procedure called a root canal treatment is often recommended to ease pain and preserve your natural tooth. If you’re in urgent need of care, visiting an Emergency Dentist in Newnan can ensure you receive the proper diagnosis and treatment.

In this guide, we’ll break down what is a root canal, explain how a root canal is done, and help you understand what causes root canal therapy to be necessary. You’ll also learn the benefits of acting quickly and the steps involved in this common dental procedure.

What Is a Root Canal and Why Is It Performed?

You may be wondering, “What is root canal treatment, or what’s a root canal exactly?”

This procedure is a type of endodontic treatment focused on saving a damaged or infected tooth. It targets the pulp, the soft center of the tooth that contains nerve tissue, blood vessels, and other soft tissues. When this area becomes infected due to tooth decay, trauma, or cracks, it can lead to severe tooth pain and long-term oral health issues if left untreated.

In simple terms, a root canal is for what purpose? The main goals are to:

  • Remove the infection from the inside of the tooth
  • Relieve discomfort or sensitivity
  • Prevent the need for tooth extraction
  • Preserve the natural root of the tooth

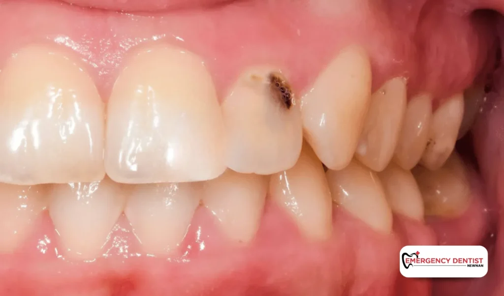
What Causes Root Canal Treatment to Be Necessary?

What Causes Root Canal Treatment to Be Necessary

Understanding what causes root canal procedures can help you avoid future issues. A few common triggers include:

  • Deep cavity that reaches the inner pulp
  • Damage from trauma or a cracked tooth
  • Large or repeated dental work on the same tooth
  • Sudden injury during chewing or biting hard foods
  • Infection from untreated cavities

Even if you don’t feel severe discomfort right away, an infected tooth can silently worsen over time. A regular checkup with a dentist can catch these problems early.

The Tooth Root Canal Process: Step-by-Step

If you’re nervous about the procedure, understanding the tooth root canal process may help ease anxiety. Let’s walk through how this root canal procedure typically unfolds:

  1. Examination and Diagnosis

Your dentist will use X-rays to determine the severity of the infection and recommend the best course of action.

  1. Local Anesthesia

The area around the affected tooth is numbed so you remain comfortable throughout the dental procedure.

  1. Cleaning Out the Pulp

A small opening is made in the top of the tooth. The infected nerve tissue and soft tissues inside are carefully removed.

  1. Shaping and Filling the Root Canal

Once the inside is cleaned and disinfected, it’s shaped and sealed using a rubber-like, biocompatible material called gutta percha.

  1. Sealing and Restoration

A temporary filling is placed to close the opening. In many cases, a dental crown is added later to reinforce the treated tooth, especially if it’s a back molar that handles frequent chewing or biting.

Why Timely Root Canal Therapy Is Crucial

Why Timely Root Canal Therapy Is Crucial

Delaying root canal therapy puts you at risk for worsening infections. An infected tooth that’s left untreated can lead to:

  • Jawbone damage
  • Pus-filled abscesses
  • Swelling that spreads to the face or neck
  • Systemic health issues

Common warning signs include:

  • Persistent tooth pain
  • Swelling or redness around the gums
  • Dark discoloration of the tooth
  • Pain while chewing or biting
  • Foul odor or bad taste in your mouth

If you experience these symptoms, seek immediate care from an Emergency Dentist in Newnan.

Aftercare Tips for a Treated Tooth

After your root canal treatment, it’s normal to feel mild tenderness or pressure for a few days. Most patients resume normal activities within 24–48 hours.

Here are some tips to protect your treated tooth:

  • Avoid chewing on hard foods until your crown is placed
  • Brush and floss gently around the area
  • Refrain from using the affected side for chewing or biting
  • Attend follow-up visits to ensure proper healing and restoration

When to See an Emergency Dentist in Newnan

Don’t wait until the pain becomes unbearable. If you’re in or near Newnan and experiencing any of the following, contact an emergency dentist immediately:

  • Sudden, sharp tooth pain
  • Swollen cheeks or gums
  • Pain that worsens when lying down or eating
  • Tooth sensitivity that doesn’t go away
  • Trauma that exposes the inner layers of a tooth

Fast action can make the difference between saving and losing your tooth.

Save Your Smile with Root Canal Treatment

Now that you understand what is a root canal, what causes root canal, and how a root canal is done, you can make more informed decisions about your oral health. This common yet critical dental procedure can stop infection, protect your smile, and eliminate the need for a tooth extraction.

If you suspect an infected tooth, don’t ignore the signs. Contact an Emergency Dentist in Newnan for timely and effective care. Early treatment means a better chance of saving your natural tooth, and restoring your peace of mind.

Emergency Dentist Newnan
Emergency Dentist Newnan

Please enter your name and phone number below to access our online booking portal.